

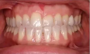
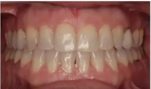
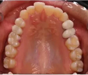
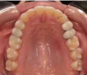
If you are looking for a discreet and effective way to straighten your teeth, Invisalign® may be the perfect solution. At Digital Dental Practice, we offer customized Invisalign treatment to help you achieve a straighter, healthier smile without the hassle of traditional braces. Our approach is centered on precision and patient comfort, ensuring that your journey to a better smile is as seamless as possible in the heart of San Francisco.


Invisalign is a clear plastic aligner system that gradually shifts your teeth into their ideal position. Using a series of custom-made, removable trays, Invisalign offers a more comfortable and aesthetically pleasing alternative to metal braces. This technology allows you to maintain your professional appearance in the Financial District while undergoing orthodontic correction.

How Invisalign Works:
- Consultation: Preliminary records such as 3D scans, pictures, and x-rays are taken.
- Treatment Plan: A 3D plan is proposed.
- Custom Fabrication: Your unique set of aligners is crafted to gradually shift your teeth.
- Daily Wear: Aligners are worn 20–22 hours per day and changed every 1–2 weeks.
- Tracking: Check-in appointments ensure your treatment is on track.
- Retention: Custom retainers are provided after treatment is completed.
Ready to transform your smile with Invisalign?
Schedule a consultation at Digital Dental Practice in San Francisco today!
