Deep Cleaning & Periodontal Therapy: Expert Gum Care in Downtown San Francisco
Deep Cleaning
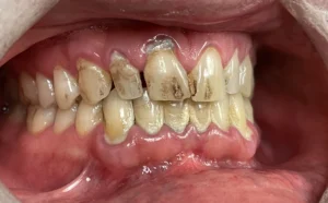
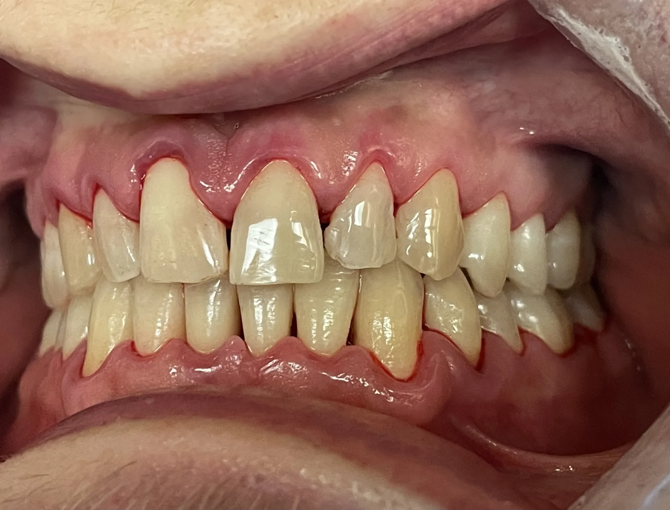
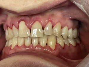
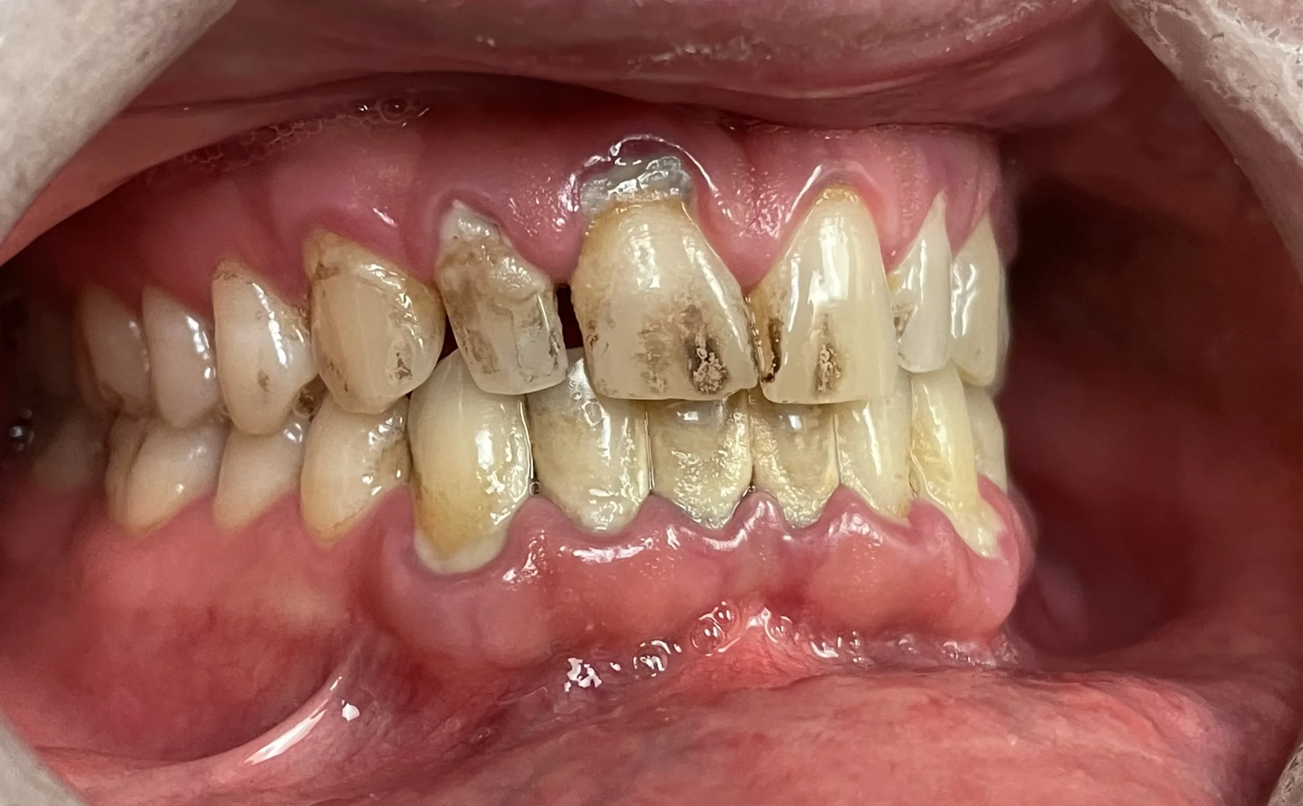
Periodontal (gum) disease is a chronic inflammatory condition caused by bacteria biofilm accumulated below the gumline. Gum disease is often painless in early stages, making routine exams in regular intervals crucial in diagnosing gum disease early. When periodontal disease is present, a regular cleaning is no longer effective or sufficient to control the infection and prevent further bone loss. Hence, a deep cleaning (also known as scaling and root planing) is recommended to remove the biofilm, arrest bone loss, and maintain periodontal health.
Scaling and root planing is a non-surgical periodontal treatment designed to remove calculus, biofilm, and bacterial deposits from tooth surfaces, deep into periodontal pockets. Deep cleaning is indicated when there are deep periodontal pockets, bleeding when gum pocket is measured, calculus deposits below the gum line, bone loss, inflammation despite routine cleaning. After deep cleaning is completed and gum disease has been arrested, it is very important to maintain health with periodontal maintenance cleanings (not regular cleaning) on a regular basis, every 3-4 months.



